Zum Inhalt

Spannungshydropneumothorax nach Lungenbiopsie

  • Open Access
  • 23.05.2018
  • Der interessante Fall
Erschienen in:
download
DOWNLOAD
print
DRUCKEN
insite
SUCHEN

Anamnese

Ein 74-jähriger Mann wurde in der Notaufnahme mit Fieber (38,6 °C), Hämoptysen, hypotonem Blutdruck (92/63 mm Hg), Tachykardie und Tachypnoe vorstellig. Bei dem Patienten war 5 Tage zuvor eine transbronchiale Lungenbiopsie aufgrund von mehreren, kavernösen Lungenrundherden im rechten, unteren Lungenlappen durchgeführt worden.

Untersuchung

Bei der Auskultation konnten rechtsseitig verminderte Atemgeräusche festgestellt werden, zudem hörte man einen hypersonoren Klopfschall. Die periphere Haut war zyanotisch verfärbt, mit einer verlängerten Rekapillarisierungszeit.

Diagnostik

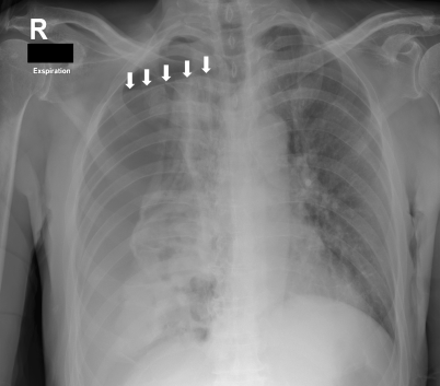
Im Labor zeigten sich eine Leukozytose (27,44 ∙ 109/l) sowie ein erhöhtes CRP (325 mg/l). In der Röntgenuntersuchung des Thorax wurde ein rechtsseitiger Spannungshydropneumothorax mit Verlagerung des Mediastinums nach links und einem Flüssigkeitsniveau auf Höhe der rechten, dritten Rippe festgestellt (Abb. 1).
Abb. 1
Röntgenuntersuchung des Thorax mit Spannungshydropneumothorax der rechten Lunge mit Verlagerung des Mediastinums nach links, zudem Flüssigkeitsniveau des Spannungspneumothorax auf Höhe der rechten dritten Rippe (weiße Pfeile)
Bild vergrößern

Therapie und Verlauf

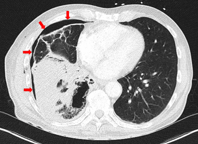
Da sich die Schocksymptomatik des Patienten verschlechterte und er einen abrupten Sauerstoffsättigungsabfall erlitt, erfolgte die notfallmäßige Punktion des rechten Hemithorax mittels einer großlumigen Kanüle (14 Gauge) mit anschließender Platzierung einer Thoraxsaugdrainage. Dadurch besserte sich die hämodynamische Instabilität des Patienten. Über die Thoraxsaugdrainage entleerten sich mehrere Liter purulenter Flüssigkeit, welche mikrobiologisch untersucht wurde. Eine im Anschluss durchgeführte Computertomographie des Thorax konnte einen Lungenabszess sowie den verbliebenen Pneumothorax nachweisen (Abb. 2). In den Pleurakulturen wurden Staphylococcus aureus, Streptococcus constellatus und Prevotella spp. nachgewiesen, die auch in den histologischen Proben der damaligen transbronchialen Biopsie nachweisbar waren.
Abb. 2
Computertomographie des Thorax (transversal) nach Platzieren der Thoraxdrainage: Konsolidierung des rechten, unteren Lungenlappens, welche einem Lungenabszess entspricht, sowie residualer Pneumothorax (rote Pfeile)
Bild vergrößern
Nach Einleitung einer antibiotischen Therapie mit Piperacillin/Tazobactam, 4,5 g 3‑mal täglich, kam es zum Rückgang der Entzündungswerte und zur klinischen Besserung des Patienten. Die Thoraxsaugdrainage wurde 1 Woche später entfernt, und der Patient konnte nach 14-tägigem, stationärem Aufenthalt ohne Einschränkung der Atmung entlassen werden.

Diskussion

Die transbronchiale Biopsie ist eine praktikable und sichere Methode in der Diagnostik von Lungenerkrankungen, wobei schwerwiegende Komplikationen wie Blutungen, Herzrhythmusstörungen und Pneumothorax auftreten können. Letzterer tritt abhängig von der bronchoskopischen Durchführungsmethode in etwa 5–8 % der Fälle auf wobei nur ein Bruchteil davon therapiewürdig ist [1]. Die wahrscheinlichere Ursache in dem beschriebenen Fall war die Biopsie des vulnerablen, entzündlich veränderten Lungengewebes. Eine weitere Ursache wäre der Lungenabszess, welcher durch die einschmelzenden Prozesse ebenfalls eine Spannungspneumothorax verursachen kann.

Fazit für die Praxis

  • Jede postinterventionelle Dyspnoe, hämodynamische Labilität oder neu aufgetretene Hämoptysen sollten weiter abgeklärt werden, da potenziell lebensbedrohliche Komplikationen auch Tage nach einer Lungenbiospie auftreten können.

Einhaltung ethischer Richtlinien

Interessenkonflikt

S. Hatzl, P. Kreuzer und P. Jud geben an, dass kein Interessenkonflikt besteht.
Dieser Beitrag beinhaltet keine von den Autoren durchgeführten Studien an Menschen oder Tieren. Alle Patienten, die über Bildmaterial oder anderweitige Angaben innerhalb des Manuskripts zu identifizieren sind, haben hierzu ihre schriftliche Einwilligung gegeben.
Open Access. Dieser Artikel wird unter der Creative Commons Namensnennung 4.0 International Lizenz (http://​creativecommons.​org/​licenses/​by/​4.​0/​deed.​de) veröffentlicht, welche die Nutzung, Vervielfältigung, Bearbeitung, Verbreitung und Wiedergabe in jeglichem Medium und Format erlaubt, sofern Sie den/die ursprünglichen Autor(en) und die Quelle ordnungsgemäß nennen, einen Link zur Creative Commons Lizenz beifügen und angeben, ob Änderungen vorgenommen wurden.

Unsere Produktempfehlungen

Springer Pflege Klinik – unser Angebot für die Pflegefachpersonen Ihrer Klinik

Mit dem Angebot Springer Pflege Klinik erhält Ihre Einrichtung Zugang zu allen Zeitschrifteninhalten und Zugriff auf über 50 zertifizierte Fortbildungsmodule.

download
DOWNLOAD
print
DRUCKEN
Titel
Spannungshydropneumothorax nach Lungenbiopsie
Verfasst von
Dr. Stefan Hatzl
Dr. Philipp Kreuzer
Dr. Philipp Jud
Publikationsdatum
23.05.2018
Verlag
Springer Medizin
Erschienen in
Notfall + Rettungsmedizin / Ausgabe 8/2018
Print ISSN: 1434-6222
Elektronische ISSN: 1436-0578
DOI
https://doi.org/10.1007/s10049-018-0461-4
1.
Zurück zum Zitat Eberhardt R, Anantham D, Ernst A et al (2007) Multimodality bronchoscopic diagnosis of peripheral lung lesions: a randomized controlled trial. Am J Respir Crit Care Med 176:36–41CrossRef